症例紹介
矯正歯科
17歳 女性 「叢生(そうせい)」

[治療内容]
あごのスペースに歯がおさまらないことで、上下の歯がデコボコしており、噛み合わせも気になっていました。矯正装置を装着して治療を行った結果、上下ともデコボコが改善され目立たなくなりました。
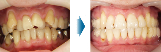
38歳 女性 「八重歯」

[治療内容]
上顎の歯肉が外側に飛び出ています。このような症状は口内炎ができやすかったり、口元をぶつけた時にけがになりやすいリスクがあります。今回は抜歯しないで改善できると診断したケースで約1年の期間で治療終了しました。
インプラント
45歳 女性 「1本埋入」

[治療内容]
「見た目などトータル的に最良の方法で」というご要望から、インプラント治療を選択されました。今回、治療にあたりお口の清掃改善と噛み合わせとバランス調整を行ってからインプラントを入れました。
45歳 女性 「複数本欠損」

[治療内容]
以前では、残されているきれいな両側の天然歯を削ってブリッジで治療する、もしくはバネは見えてしまいますが、義歯で治療する方法しかありませんでした。ブリッジでは虫歯のないきれいな歯でも何本も削らなければならない上、義歯ではバネが見えて審美的に劣り大きな義歯になれば発音にも非常に悪影響を及ぼします。インプラント治療であれば、このように残されている天然歯を削らず、しかもバネをかけることもなく美しい仕上がりとなります。発音や食事もご自身の歯のように違和感なく可能となることでしょう。
23歳 女性 「中間欠損」

[治療内容]
両隣の歯は神経も生きていてきれいな歯です。ブリッジという方法で治す場合もありますが、なるべくきれいな歯は削りたくないためインプラントにしました。
セラミック
58歳 女性

[治療内容]
左上前歯の歯ぐきの黒ズミを改善する為に、オールセラミックで治療を行いました。
24歳 女性

[治療内容]
歯と歯肉の間が目立ってきてしまっていました。オールセラミッククラウンで自然な見た目に治療を行いました。
37歳 女性

[治療内容]
過去に前歯を何度もプラスチックの詰め物で治療を繰り返していらっしゃり、今回、オールセラミックスにより前歯4本の治療を行ったケースです。
